Протезный рабочий процесс в цифровую эпоху
Цель этого ретроспективного исследования заключалась в клинической оценке преимуществ использования полностью цифрового рабочего процесса для изготовления несъемных ортопедических реставраций на естественных зубах. Для оценки эффективности этих протоколов были составлены планы лечения 15 пациентов, нуждающихся в реабилитации одного или нескольких естественных зубов. Все слепки зубов были сняты с помощью интраорального сканера Planmeca PlanScan (Planmeca OY, Хельсинки, Финляндия), который предоставил цифровые слепки, на которых реставрации были спроектированы в цифровом виде с использованием программного обеспечения Exocad (Exocad GmbH, Германия, 2010 г.) и изготовлены с помощью CAM-обработки на 5 -осевые фрезерные станки. Всего было изготовлено 28 одиночных коронок из монолитного диоксида циркония, 12 вестибулярных виниров из дисиликата лития и 4 вестибулярных винира на три четверти с небным расширением. Во время наложения реставраций авторы могли клинически оценить превосходное соответствие между ортопедической конструкцией, изготовленной с помощью цифровых технологий, и цементируемыми протезами, которые никогда не требовали какой-либо окклюзионной или проксимальной регулировки. Из всех примененных реставраций только одна показала преждевременную поломку и была заменена без каких-либо других осложнений или необходимости дальнейшего сканирования. Из клинического опыта, полученного с использованием полностью цифрового рабочего процесса, авторы могут подтвердить, что эти рабочие процессы позволяют изготавливать клинически надежные реставрации со всеми преимуществами, которые цифровые методы приносят стоматологу, зуботехнической лаборатории и пациенту.

Лидия Тордильоне, 1 Мишель Де Франко, 2 и Джованни Бозетти, 3 1
Кафедра хирургии и морфологии, Университет Инсубрии, 21100 Варезе, Италия 2 Частная практика, Аббиатеграссо, Милан, Италия 3 Частная практика, 21100 Варезе, Италия
Корреспонденцию следует направлять Лидии Тордильоне; lidia.tordiglione@gmail.com
Поступила в редакцию 24 февраля 2016 г.; Пересмотрено 28 июня 2016 г.; Принято 26 сентября 2016 г.
Академический редактор: Томас Фортин
1. Введение
Для стоматологов очень неприятно завершить ортопедическую реабилитацию, как сложную, так и простую, только для того, чтобы обнаружить, что состояние полости рта не соответствует слепкам зубного техника.
Для снятия оттисков полости рта доступно большое разнообразие материалов и методов.
Сложность заключается в приобретении критических знаний о различных оттискных материалах (полиэфиры, поливинилсилоксаны, полисульфиды, гидроколлоиды и др.) с точки зрения как их химико-физических характеристик, так и их различного клинического применения и обращения [1].
В эпоху цифровой стоматологии мы можем заменить эти различные оттискные материалы внутриротовым сканером [2].
Интраоральные сканеры представляют собой первый шаг в полностью цифровом процессе проектирования и изготовления зубных протезов.
Возможность протезирования как естественных зубов, так и имплантатов с использованием полностью цифровых рабочих процессов стала реальностью, и любая клиника может воспользоваться современными цифровыми методами для улучшения своей повседневной клинической практики.
Преимущества цифрового метода заключаются не только в новом диапазоне материалов, которые можно использовать, но и во всем рабочем процессе, от оттиска и дизайна до изготовления протеза [3–6].
Методы сканирования зубных рядов с использованием интраоральных систем обеспечивают получение оттисков, сравнимых с традиционными материалами, с точки зрения клинической точности [7], исключая вариабельность, зависящую от оператора, сокращая время и затраты на реабилитацию и улучшая соблюдение пациентом режима лечения [8–11]. Есть и ряд преимуществ для пациентов: сканирование требует меньше времени, чем обычные оттиски, изображения могут быть немедленно проанализированы оператором, и при необходимости его можно легко повторить полностью или частично. Кроме того, размеры наконечника сканера делают его гораздо более удобным с точки зрения нагрузки, чем использование традиционных материалов, особенно у пациентов с чувствительным рвотным рефлексом или боязнью удушья [12–14].
Цель этой статьи состоит в том, чтобы представить полностью цифровой рабочий процесс, основанный на новейших технологиях, в настоящее время широко проверенных, от цифрового сканирования внутриротовых оттисков и обработки с помощью программного обеспечения CAD для стоматологического дизайна до изготовления путем прототипирования диагностической коронки и вычитающего фрезерования готового протеза. зуб, чтобы стандартизировать рабочий процесс и свести к минимуму возможные ошибки.
2. Материалы и методы
2.1. Отбор пациентов. Это клиническое последующее обследование 14 пациентов, которым были установлены одинарные или множественные коронки и виниры из диоксида циркония и дисиликата лития, с целью максимально использовать новые методы работы и внедрить полностью цифровые рабочие процессы. Клинические этапы проводились в период с января 2014 г. по декабрь 2014 г.
Клинические случаи были отобраны на основе следующих параметров: первоначально были отобраны восемь пациентов, нуждающихся в несъемной ортопедической реабилитации на отдельных естественных зубах, чтобы усовершенствовать технику и сократить кривую обучения автора, затем были отобраны еще трое пациентов, нуждающихся в ортопедической реабилитации на двух соседних зубах, а затем двумя пациентами, которым потребовалась обработка до четырех зубов, распределенных между обеими зубными дугами, и, наконец, пациенту с множественными ссадинами, потерей вертикального размера и уменьшением клинической высоты коронки была выполнена сложная ортопедическая реабилитация на естественных абатментах.
Критерии включения пациента: возраст не менее 18 лет, отсутствие системной патологии, достаточная гигиена полости рта, низкая активность кариеса с менее чем пятью новыми реставрациями за предшествующий пятилетний период, отсутствие признаков активной резорбции кости, вовлечения фуркаций, периапикальной патологии. или подвижность. В качестве антагонистов принимались только естественные зубы или несъемные протезы, не нуждающиеся в лечении. Терапия корневых каналов проводилась, при необходимости, на выбранных зубах не менее чем за шесть месяцев до ортопедической реабилитации, и они должны были быть бессимптомными, без рентгенологических признаков периапикального поражения. Зубы, которые все еще были живыми и не нуждались в лечении корневых каналов, остались живыми. Требовалось здоровье пародонта: глубина зондирования < 4 мм, максимальная подвижность 1 степени, отсутствие вертикального костного кармана.
2.2. Внутриротовое сканирование. Все оттиски, необходимые для реализации запланированных планов лечения, были сняты с помощью внутриротового сканера Planmeca PlanScan (Planmeca OY, Хельсинки, Финляндия). Это устройство основано на проекции коротковолнового лазерного излучения (450 нм). Сканер не требует нанесения порошка на внутриротовую поверхность и имеет несколько сменных автоклавируемых насадок различных размеров в зависимости от клинической ситуации. Его можно использовать, просто подключив к компьютеру или подготовленной стоматологической установке, что позволяет легко работать с ним на различных рабочих станциях. Кроме того, программное обеспечение для сканирования позволяет экспортировать цифровые слепки в открытый формат STL, предоставляя клиницисту полную свободу в управлении последующими этапами ортопедической реабилитации с использованием программного обеспечения Exocad (Exocad GmbH, Германия, 2010 г.).
Для валидации процедуры в первых случаях были предприняты два шага: были созданы модели-прототипы для проверки точности ортопедической реставрации, а диагностические коронки из пластмассы были изготовлены для тестирования и модификации, при необходимости, непосредственно во рту пациента. Убедившись в надежности методики, мы решили исключить эти два шага.
2.3. Полный цифровой рабочий процесс. Первоначально требовалось в общей сложности четыре клинических приема:
(i) Сканирование зубных дуг, выполненное с помощью интраорального сканера (IS), позволяет спроектировать временную коронку на основе цифровых слепков (рис. 1 и 2). Все сканирование было выполнено с использованием Planmeca PlanScan (Planmeca Oy, Хельсинки, Финляндия), который не требует использования затемняющего порошка. Сначала мы произвели сканирование всей зубной дуги до второго моляра, затем сканирование противоположной дуги с таким же расширением, а затем сканирование обеих дуг в положении максимального межбугоркового контакта (MIP), что позволило визуализировать программное обеспечение для немедленной связи двух сканов.
(ii) Производится препарирование зубов и корректировка полимерной временной коронки, отфрезерованной из ПММА (рис. 3); сканирование окончательного внутриротового слепка выполняется, если маргинальный пародонт не был затронут при примерке временной коронки; в противном случае сканирование было запланировано на следующий сеанс. Окончательное сканирование было аналогично описанному для временной коронки (фото 4). Единственная разница заключалась в том, что две ретракционные нити десны располагались в десневой борозде отпрепарированных зубов, а более коронковая нить удалялась за несколько мгновений до снятия оттиска.
Временные реставрации из ПММА были зацементированы безэвгеноловым цементом (Temp Bond NE, Kerr GmbH, Rastatt, Германия, или Freegenol, GC, Bad Homburg, Германия).
(iii) Процедура примерки следующая: примерка пластмассы (рис. 5) и выполнение всех необходимых окклюзионных и/или проксимальных регулировок диагностических коронок.
Диагностические коронки были изготовлены с использованием машины для быстрого прототипирования 020D DigitalWax (DWS, Vicenza 2007) с лазерным источником BluEdge, который сочетает в себе высокую скорость с точностью и качеством поверхности. Он также имеет устройство вертикального позиционирования, которое позволяет основанию моделирующей платформы выступать до степени, соответствующей толщине затвердевшего слоя, благодаря синхронизированному лазеру. Использовалась светочувствительная смола для стереолитографических систем DigitalWax RD096 (DWS, Vicenza 2007), обеспечивающая высокое разрешение, высокое разрешение и долговечность.
Затем было выполнено третье сканирование, которое было импортировано в программное обеспечение САПР Exocad (Exocad GmbH, Германия, 2010 г.) для переноса в цифровой проект любых клинических корректировок, достигнутых на диагностической коронке. Это третье сканирование было выполнено с интраоральным сканированием диагностических коронок в правильном положении и внеротовым сканированием самих коронок с акцентом на дизайн шейки матки.
(iv) Осуществляют доставку и цементирование окончательного протеза (рис. 6 и 7).
Материалами, выбранными для изготовления протезов, были силикат лития и монолитный диоксид циркония из-за их биосовместимости, биомеханических свойств, эстетических качеств и диамагнитных характеристик.
Все окончательные протезы, как монолитные одиночные коронки из диоксида циркония, так и вестибулярные виниры из дисиликата лития и вестибулярные виниры из дисиликата лития на три четверти с небным удлинением, были изготовлены с использованием 5-осевого фрезерного станка с числовым программным управлением Granite фирмы Dental Machine (Dental machine, Пьяченца, Италия). Все 5 осей непрерывно интерполируются и управляются бесщеточными цифровыми двигателями с электронным управлением, с автоматическим управлением током и положением, и могут работать со всеми материалами (воск, ПММА, различные смолы, композитный материал, предварительно спеченный цирконий или оксид алюминия, дисиликат лития, титан). (марки 2 и 5) и сплав Cr-Co).
Все коронки из диоксида циркония были выточены из дисков Zirite (Keramo, Tavernerio, Como, Италия): изостатически прессованный, частично спеченный оксид циркония, стабилизированный иттрием и окрашенный красителем Colorodent NANOZC (Orodent, Castelnuovo del Garda, Verona, Italia). погружение на 3–8 секунд в зависимости от толщины реставрации и спекание в соответствии с инструкциями производителя в печи для спекания Nabertherm (Nabertherm GmbH, Lilienthal, Германия).
Виниры из дисиликата лития были изготовлены из IPS.
Прессованные керамические блоки e.max (Ivoclar Vivadent,

Рисунок 7: Клинический внутриротовой результат после фиксации.
Шаан, Лихтенштейн), окрашены красками IPS e.max CAD Crystall Shades (Ivoclar-Vivadent, Шаан, Лихтенштейн) и кристаллизованы в керамических печах в соответствии с инструкциями производителя.
Краевое прилегание абатментов оценивали с помощью силиконовой индикаторной пасты (Fit Checker, GC, Бад-Хомбург, Германия).
Поверхности реставраций из дисиликата лития были протравлены 5% плавиковой кислотой (IPS Ceramic Etching Gel, Ivoclar Vivadent, Schaan, Liechtenstein) в течение 60 секунд, затем промыты и высушены на воздухе. Затем нанесли силан Monobond Plus (Ivoclar Vivadent) и дали подействовать в течение 20 секунд. Внутренние поверхности реставраций циркониевых коронок были подвергнуты пескоструйной обработке и очищены в ультразвуковой установке в течение примерно 1 минуты, а затем промыты и высушены на воздухе. Поверхности абатментов кондиционировали Multilink Primer A/B, смешанным в соотношении 1:1, наносили и очищали в течение не менее 30 секунд. Все реставрации были зафиксированы адгезивно самоотверждающимся фиксирующим композитом Multilink Automix (Ivoclar Vivadent, Шаан, Лихтенштейн).
Наконец, статические и динамические окклюзии были проверены с помощью 40 𝜇 микротонкая артикуляционная бумага (Bausch, Кельн, Германия).¨
Первоначально потребовалось всего четыре клинических приема: подготовка и подгонка временной коронки, сканирование внутриротового слепка, тестирование диагностической коронки, а также установка и цементирование окончательного протеза. Позже, когда операторы приобрели больше опыта, мы смогли избежать клинического испытания диагностической коронки и сократить количество посещений до трех, применяя окклюзионную и проксимальную коррекцию непосредственно к окончательному протезу.
2.4. Следовать до. Клиническое обследование и рентгенографические осмотры были запланированы через один месяц после окончательного цементирования, шесть месяцев и один год.
Повторное обследование было проведено двумя операторами, проводившими лечение. Во время каждого отзыва регистрировались как биологические, так и технические параметры.
Биологические параметры включали глубину зондирования опорных зубов, индекс кровоточивости их сосочков (PBI), вторичный кариес, эндодонтические осложнения и переломы опорных зубов. Техническая оценка включала перелом или сколы коронки или винира, потерю ретенционного износа или шероховатость поверхности, а также эстетические характеристики.
Параметры, зарегистрированные для вестибулярных виниров, вестибулярных виниров на три четверти с небным расширением и коронок, были одинаковыми.
3. Результаты
Всего было установлено 44 протеза 14 пациентам (8 женщинам и 6 мужчинам). Из них 8 пациентов были отобраны для восстановления одиночными коронками на жевательных зубах фрезерованным монолитным диоксидом циркония (5 женщин и 3 мужчин); 5 пациентам потребовалась комплексная ортопедическая реабилитация: из них 2 потребовались монолитные коронки из диоксида циркония на два соседних боковых зуба (2 мужчины), 1 женщине потребовались два вестибулярных винира из дисиликата лития на передние зубы, а двум женщинам потребовалась монолитная коронка из диоксида циркония на три зуба, распределенных между обоими зубами. зубные дуги. Наконец, была завершена полная ортопедическая реабилитация: она состояла из 10 монолитных одиночных коронок из диоксида циркония (8 на боковых зубах и 2 на передних зубах), 10 вестибулярных виниров из дисиликата лития и 4 вестибулярных виниров из дисиликата лития с небным удлинением (таблица 1).
Ни один из окончательных протезов, изготовленных цифровым методом, не нуждался в корректировке окклюзионной и интерпроксимальной поверхностей, при этом окклюзионные корректировки диагностических коронок были полностью сопоставимы с таковыми, выполненными на протезах, изготовленных традиционным способом.
Ни в одном из зубов с коронками не было отказа ортопедического компонента. В одном случае произошел перелом трехчетвертной вестибулярной винира с небным покрытием на одном премоляре, связанный с окклюзионной перегрузкой. Не было необходимости повторно обрабатывать цифровой слепок, так как файл обработки CAD STL использовался для повторной фрезеровки, чтобы можно было сразу заменить винир. После максимально возможной балансировки зубного контакта и указания пациенту использовать защитную ночную каппу проблема больше не возникала.
4. Дискуссия
Цифровая обработка CAD/CAM, как и традиционная обработка, требует цифрового слепка, по которому можно спроектировать реставрацию. Цифровой слепок можно получить путем оцифровки физического слепка, полученного из традиционных оттисков, или на основе слепка, созданного в цифровом виде с помощью внутриротового сканера.
Как лабораторный сканер, так и внутриротовой сканер обеспечивают клинически приемлемую точность создания протезных конструкций [15, 16]. На первый, однако, влияют внутренние ошибки и изменчивость из-за использования обычных оттискных материалов и их развития в гипсе. Интраоральное сканирование может значительно облегчить и стандартизировать снятие оттиска даже в более сложных случаях, таких как сканирование полного зубного ряда [17] и даже в случае беззубых дуг [18], хотя для этих типов клинических случаев потребуются дальнейшие клинические исследования. Однако следует отметить, что существует некоторая вариабельность в отношении точности и правильности различных систем внутриротового сканирования [19].
К преимуществам использования цифрового метода также относится значительная экономия времени и действий, как для стоматолога в клинике, так и для зубного техника в лаборатории. По сравнению с традиционными оттисками цифровые оттиски не требуют выбора оттискной ложки, расхода материала, дезинфекции материала и оттискной ложки, а также необходимости упаковки и доставки оттиска. Благодаря этому методу лаборатория теперь может обойтись без этапов отливки слепка и уточнения слепка, а также использования артикуляторов.
Исследование Lee и Gallucci также показало, что цифровой метод более ценится операторами, чем традиционный, и что его применение позволяет значительно сэкономить время [20].
Освоение и освоение методики операторами было намного проще и эффективнее, учитывая возможность модификации и пересканирования в ходе работы [21].
Методы обработки CAD/CAM были одними из первых цифровых инноваций, внедренных в стоматологию примерно в 1980 году [22]. Они позволяют обрабатывать традиционные материалы, такие как кобальт-хромовые сплавы, композитные и акриловые смолы, полевошпатную керамику, некоторые армированные стеклокерамики и воск, посредством процессов вычитания с использованием фрезерных станков с ЧПУ [23]. Эти процессы обработки быстрее и дешевле по сравнению с традиционной обработкой, сохраняя при этом превосходный уровень качества [24]. Однако одним из основных преимуществ использования методов CAD/CAM является возможность работы с материалами, которые иначе нельзя было бы использовать в стоматологии. Эти материалы включают титан, титановые сплавы и поликристаллическую керамику, такую как оксид циркония.
Благодаря своим характеристикам оксид циркония в настоящее время стал одним из наиболее широко используемых материалов для изготовления несъемных протезов с обработкой CAD/CAM [25]. Он обладает высокой устойчивостью к изгибу и разрушению, малым удельным весом по сравнению с другими протезными материалами и диамагнитными свойствами в случае необходимости МРТ. Тем не менее, его эстетическое превосходство над металлическими конструкциями, возможность быть более консервативным с твердыми зубными тканями, поскольку толщина может быть уменьшена по сравнению с толщиной металлокерамических коронок, его отличная биосовместимость и возможность получения безметалловых реставраций являются причинами. для увеличения его использования. Биосовместимость диоксида циркония была продемонстрирована в многочисленных исследованиях in vitro [26] и in vivo [27, 28], показавших отсутствие мутаций клеточного генома и других побочных реакций в биологических тканях, подвергшихся воздействию образцов оксида циркония. Эти же исследования показывают, что его высокая биосовместимость в основном обусловлена его внутренней ионной стабильностью, которая сводит к минимуму воспалительную реакцию. В настоящее время диоксид циркония используется для изготовления каркасов протезов, абатментов имплантатов, монолитных реставраций, включая вкладки, коронки, мостовидные протезы и полные дуги, а также ортодонтических брекетов [29].
Вопреки распространенному мнению, измельчение оксида циркония требует очень надежной и структурно стабильной системы удаления. Фактически, при фрезеровании диска из материала в сыром состоянии необходимо контролировать и контролировать скорость, усилие и движения станка, чтобы предотвратить изломы (видимые или невидимые и очень коварные) и слишком большие поднутрения.
По этой причине мы использовали 5-осевой промышленный фрезерный станок с инструментами, способными обеспечить превосходную точность фрезерования при толщине в 1,5 десятых благодаря их структурной стабильности и системе крепления с горячей посадкой.
Этот результат, после спекания в печи и первого окрашивания для выявления его потенциальной прозрачности, оказывается визуально и ощутимо удивительно тонким артефактом, способным идеально адаптироваться к анатомической структуре зуба пациента.
Это исследование согласуется с уже доступной литературой, в которой утверждается, что возможность цифрового проектирования протезного артефакта непосредственно из отсканированной модели, что позволяет избежать традиционных шагов снятия оттиска и отливки модели, снижает вероятность ошибки и повышает предельную точность . протеза и проксимальных контактов [30].
5. Вывод
Авторы согласны с литературными данными в утверждении, что весь цифровой рабочий процесс, от сканирования оттиска до изготовления протеза, доказал свою надежность и воспроизводимость в клинической практике.
Хотя могут потребоваться дальнейшие сравнительные исследования точности и правильности внутриротовых сканеров, клинический результат, улучшенное соблюдение пациентом режима лечения и экономия времени и материалов, достигаемые с помощью этого метода, представляют собой значительный прогресс в ортопедической стоматологии и выборе инновационных материалов, которые он позволяет, несомненно, является важным шагом в научном и биологическом прогрессе.
Конкурирующие интересы
Авторы сообщают об отсутствии конкурирующих интересов, связанных с этим исследованием.
Благодарности
Авторы хотели бы поблагодарить Francodental, Павия, за предоставление внутриротового сканера PlanScan для клинических процедур, а также инженера Массимо Бозетти за его помощь в отношении цифровых технологий.
Рекомендации
[1] Г. Кугель, «Снятие слепков: традиционные методы остаются неизменными по мере развития цифровых технологий», Сборник непрерывного образования в области стоматологии , том. 35, нет. 3, стр. 202–203, 2014.
[2] М. Циммерманн, А. Мел, В. Х. Морманн и С. Райх,¨
«Системы внутриротового сканирования — текущий обзор», International Journal of Computerized Dentistry , vol. 18, нет. 2, стр. 101–129, 2015.
[3] К. Уеда, Ф. Бойер, М. Штиммельмайр, К. Эрдельт, К. Кеул и Ж.-Ф. Guth, «Подгонка 4-элементных FDP из CoCr и диоксида циркония после обычных и цифровых оттисков», Clinical Oral Investigations , vol. 20, нет. 2, стр. 283–289, 2016.
[4] Т. Абдель-Азим, К. Роджерс, Э. Элатамна, А. Зандинежад, М. Мец и Д. Мортон, «Сравнение краевой посадки коронок из дисиликата лития, изготовленных с использованием технологии CAD/CAM с использованием обычных оттисков и двух внутриротовых оттисков». цифровые сканеры», Journal of Prosthetic Dentistry , vol. 114, нет. 4. С. 554–559, 2015.
[5] Г. Прадиес, К. Зарауз, А. Вальверде, А. Феррейроа и Ф. Мартинес-Рус, «Клиническая оценка, сравнивающая посадку цельнокерамических коронок, полученных из силикона, и цифровых внутриротовых слепков на основе технологии выборки волнового фронта». Стоматологический журнал , вып. 43, нет. 2, стр. 201–208, 2015.
[6] J. Ng, D. Ruse и C. Wyatt, «Сравнение краевого прилегания коронок, изготовленных цифровыми и обычными методами», Journal of Prosthetic Dentistry , vol. 112, нет. 3, стр. 555–560, 2014.
[7] Д. Арберг, Х.К. Лауэр, М. Арберг и П. Вейгл, «Оценка соответствия и эффективности цельнокерамических реставраций, изготовленных с помощью CAD/CAM, на основе прямой и непрямой оцифровки: двойное слепое рандомизированное клиническое исследование», Clinical Oral Расследования , том. 20, нет. 2, стр. 291–300, 2016.
[8] С. Б. Патцельт, К. Лампринос, С. Стампф и В. Атт, «Временная эффективность внутриротовых сканеров: сравнительное исследование in vitro», Журнал Американской стоматологической ассоциации , том. 145, нет. 6, стр. 542–551, 2014.
[9] Т. Джода и У. Браггер, «Анализ эффективности использования времени, сравнивающий цифровые и обычные рабочие процессы для коронок на имплантатах: проспективное перекрестное клиническое испытание», Международный журнал устных и челюстно-лицевых имплантатов , том. 30, нет. 5, стр. 1047–1053, 2015.
[10] Х. Тамим, Х. Скьервен, А. Экфельдт и Х. Дж. Ронолд, «Клиническая оценка металлокерамических коронок CAD / CAM, изготовленных из внутриротовых цифровых оттисков», Международный журнал ортопедии, том . 27, нет. 4, стр. 331–337, 2014.
[11] С. Тинг-шу и С. Цзянь, «Техника внутриротового цифрового оттиска: обзор», Журнал ортопедии , том. 24, нет. 4, стр. 313–321, 2015.
[12] E. Yuzbasioglu, H. Kurt, R. Turunc и H. Bilir, «Сравнение цифровых и обычных методов оттиска: оценка восприятия пациентов, комфорт лечения, эффективность и клинические результаты», BMC Oral Health , vol. 14, нет. 1, статья 10, 2014.
[13] Т. Джода и У. Браггер, «Результаты, ориентированные на пациента, при сравнении цифровых и обычных процедур снятия оттисков с имплантатов:
рандомизированное перекрестное исследование», Clinical Oral Implants Research , 2015.
[14] E. Yuzbasioglu, H. Kurt, R. Turunc и H. Bilir, «Сравнение цифровых и обычных методов оттиска: оценка восприятия пациентов, комфорт лечения, эффективность и клинические результаты», BMC Oral Health , vol. 14, статья 10, 7 страниц, 2014.
[15] Дж. С. Алмейда и Сильва, К. Эрдельт, Д. Эдельхофф и др., «Краевая и внутренняя подгонка четырехэлементных несъемных зубных протезов из диоксида циркония на основе цифровых и обычных методов оттиска», Clinical Oral Investigations, vol . 18, нет. 2, стр. 515–523, 2014.
[16] Р. Скотти, П. Карделли, П. Балдиссара и К. Монако, «Клиническая примерка одиночных коронок из диоксида циркония CAD/CAM, полученных из цифровых внутриротовых оттисков на основе выборки активного волнового фронта», Журнал стоматологии, 2011 .
[17] А. Эндер и А. Мел, «Оценка in-vitro точности обычных и цифровых методов получения слепков зубов с полной дугой», Quintessence International , vol. 46, нет. 1, стр. 9–17, 2015.
[18] П. Папаспиридакос, Г.О. Галлуччи, К.-Дж. Chen, S. Hanssen, I. Naert и B. Vandenberghe, «Цифровые и обычные слепки имплантатов для беззубых пациентов: результаты точности», Clinical Oral Implants Research , vol. 27, нет. 4. С. 465–472, 2016.
[19] P. Seelbach, C. Brueckel и B. Wostmann, «Точность цифровых¨ и обычных методов оттиска и рабочего процесса», Clinical Oral Investigations , vol. 17, нет. 7, стр. 1759–1764, 2013.
[20] С. Дж. Ли и Г. Г. Галлуччи, «Цифровые и обычные слепки имплантатов: результаты эффективности», Clinical Oral Implants Research , vol. 24, нет. 1, стр. 111–115, 2013.
[21] АСК Перссон, А. Оден, М. Андерссон и Г. Сандборг-Инглунд, «Оцифровка смоделированных клинических стоматологических оттисков: виртуальный трехмерный анализ точности», Стоматологические материалы , том. 25, нет. 7, стр. 929–936, 2009.
[22] Т. Миядзаки, Ю. Хотта, Дж. Кунии, С. Курияма и Ю. Тамаки, «Обзор стоматологических CAD / CAM: текущее состояние и перспективы на будущее на основе 20-летнего опыта», Dental Materials Journal , vol. 28, нет. 1, стр. 44–56, 2009 г.
[23] Ф. Зароне, С. Руссо и Р. Соррентино, «От металлического сплава фарфора до диоксида циркония: клинические и экспериментальные соображения», Стоматологические материалы , том. 27, нет. 1, стр. 83–96, 2011.
[24] LM Kane, D. Chronaios, M. Sierraalta и FM George, «Краевая и внутренняя адаптация фрезерованных кобальт-хромовых колпачков», Журнал ортопедической стоматологии , том. 114, нет. 5, стр. 680–685, 2015.
[25] Р. Соррентино, Г. Де Симоне, С. Тете, С. Руссо и Ф. Зароне, «Пятилетнее проспективное клиническое исследование задних трехзвенных несъемных зубных протезов на основе диоксида циркония», Clinical Oral Investigations, vol . 16, нет. 3, стр. 977–985, 2012.
[26] Сильва В.В., Ламейрас Ф.С. и Лобато З.И.П., «Биологическая реакционная способность композитов цирконий-гидроксиапатит», Журнал исследований биомедицинских материалов , том. 63, нет. 5, стр. 583–590, 2002.
[27] П. Кристель, А. Менье, М. Хеллер, Дж. П. Торре и К. Н. Пей, «Механические свойства и краткосрочная оценка in-vivo частично стабилизированного оксидом иттрия диоксида циркония», Журнал исследований биомедицинских материалов, том . 23, нет. 1, стр. 45–61, 1989.
[28] PF Manicone, P. Rossi Iommetti и L. Raffaelli, «Обзор циркониевой керамики: основные свойства и клиническое применение», Journal of Dentistry , vol. 35, нет. 11, стр. 819–826, 2007.
[29] М. Феррари, А. Вичи и Ф. Зароне, «Циркониевые абатменты и реставрации: от лабораторных до клинических исследований», Стоматологические материалы , том. 31, нет. 3, стр. e63–e76, 2015 г.
[30] С. Куас, Х. Рудольф и Р. Г. Лутхардт, «Прямое механическое получение данных оттисков зубов для изготовления реставраций CAD / CAM», Journalof Dentistry , vol. 35, нет. 12, стр. 903–908, 2007.
Издательская корпорация Хиндави
Международный журнал стоматологии, том 2016 г., идентификатор статьи 9840594, 10 страниц http://dx.doi.org/10.1155/2016/9840594
Лидия Тордильоне, 1 Мишель Де Франко, 2 и Джованни Бозетти, 3 1
Кафедра хирургии и морфологии, Университет Инсубрии, 21100 Варезе, Италия 2 Частная практика, Аббиатеграссо, Милан, Италия 3 Частная практика, 21100 Варезе, Италия
Корреспонденцию следует направлять Лидии Тордильоне; lidia.tordiglione@gmail.com
Поступила в редакцию 24 февраля 2016 г.; Пересмотрено 28 июня 2016 г.; Принято 26 сентября 2016 г.
Академический редактор: Томас Фортин
1. Введение
Для стоматологов очень неприятно завершить ортопедическую реабилитацию, как сложную, так и простую, только для того, чтобы обнаружить, что состояние полости рта не соответствует слепкам зубного техника.
Для снятия оттисков полости рта доступно большое разнообразие материалов и методов.
Сложность заключается в приобретении критических знаний о различных оттискных материалах (полиэфиры, поливинилсилоксаны, полисульфиды, гидроколлоиды и др.) с точки зрения как их химико-физических характеристик, так и их различного клинического применения и обращения [1].
В эпоху цифровой стоматологии мы можем заменить эти различные оттискные материалы внутриротовым сканером [2].
Интраоральные сканеры представляют собой первый шаг в полностью цифровом процессе проектирования и изготовления зубных протезов.
Возможность протезирования как естественных зубов, так и имплантатов с использованием полностью цифровых рабочих процессов стала реальностью, и любая клиника может воспользоваться современными цифровыми методами для улучшения своей повседневной клинической практики.
Преимущества цифрового метода заключаются не только в новом диапазоне материалов, которые можно использовать, но и во всем рабочем процессе, от оттиска и дизайна до изготовления протеза [3–6].
Методы сканирования зубных рядов с использованием интраоральных систем обеспечивают получение оттисков, сравнимых с традиционными материалами, с точки зрения клинической точности [7], исключая вариабельность, зависящую от оператора, сокращая время и затраты на реабилитацию и улучшая соблюдение пациентом режима лечения [8–11]. Есть и ряд преимуществ для пациентов: сканирование требует меньше времени, чем обычные оттиски, изображения могут быть немедленно проанализированы оператором, и при необходимости его можно легко повторить полностью или частично. Кроме того, размеры наконечника сканера делают его гораздо более удобным с точки зрения нагрузки, чем использование традиционных материалов, особенно у пациентов с чувствительным рвотным рефлексом или боязнью удушья [12–14].
Цель этой статьи состоит в том, чтобы представить полностью цифровой рабочий процесс, основанный на новейших технологиях, в настоящее время широко проверенных, от цифрового сканирования внутриротовых оттисков и обработки с помощью программного обеспечения CAD для стоматологического дизайна до изготовления путем прототипирования диагностической коронки и вычитающего фрезерования готового протеза. зуб, чтобы стандартизировать рабочий процесс и свести к минимуму возможные ошибки.
2. Материалы и методы
2.1. Отбор пациентов. Это клиническое последующее обследование 14 пациентов, которым были установлены одинарные или множественные коронки и виниры из диоксида циркония и дисиликата лития, с целью максимально использовать новые методы работы и внедрить полностью цифровые рабочие процессы. Клинические этапы проводились в период с января 2014 г. по декабрь 2014 г.
Клинические случаи были отобраны на основе следующих параметров: первоначально были отобраны восемь пациентов, нуждающихся в несъемной ортопедической реабилитации на отдельных естественных зубах, чтобы усовершенствовать технику и сократить кривую обучения автора, затем были отобраны еще трое пациентов, нуждающихся в ортопедической реабилитации на двух соседних зубах, а затем двумя пациентами, которым потребовалась обработка до четырех зубов, распределенных между обеими зубными дугами, и, наконец, пациенту с множественными ссадинами, потерей вертикального размера и уменьшением клинической высоты коронки была выполнена сложная ортопедическая реабилитация на естественных абатментах.
Критерии включения пациента: возраст не менее 18 лет, отсутствие системной патологии, достаточная гигиена полости рта, низкая активность кариеса с менее чем пятью новыми реставрациями за предшествующий пятилетний период, отсутствие признаков активной резорбции кости, вовлечения фуркаций, периапикальной патологии. или подвижность. В качестве антагонистов принимались только естественные зубы или несъемные протезы, не нуждающиеся в лечении. Терапия корневых каналов проводилась, при необходимости, на выбранных зубах не менее чем за шесть месяцев до ортопедической реабилитации, и они должны были быть бессимптомными, без рентгенологических признаков периапикального поражения. Зубы, которые все еще были живыми и не нуждались в лечении корневых каналов, остались живыми. Требовалось здоровье пародонта: глубина зондирования < 4 мм, максимальная подвижность 1 степени, отсутствие вертикального костного кармана.
2.2. Внутриротовое сканирование. Все оттиски, необходимые для реализации запланированных планов лечения, были сняты с помощью внутриротового сканера Planmeca PlanScan (Planmeca OY, Хельсинки, Финляндия). Это устройство основано на проекции коротковолнового лазерного излучения (450 нм). Сканер не требует нанесения порошка на внутриротовую поверхность и имеет несколько сменных автоклавируемых насадок различных размеров в зависимости от клинической ситуации. Его можно использовать, просто подключив к компьютеру или подготовленной стоматологической установке, что позволяет легко работать с ним на различных рабочих станциях. Кроме того, программное обеспечение для сканирования позволяет экспортировать цифровые слепки в открытый формат STL, предоставляя клиницисту полную свободу в управлении последующими этапами ортопедической реабилитации с использованием программного обеспечения Exocad (Exocad GmbH, Германия, 2010 г.).
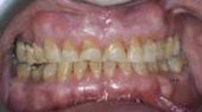
| Рисунок 1: Внутриротовые предоперационные условия. Обратите внимание на широко распространенные шейные ссадины и абфракции. | Рисунок 2: 3D-изображение предоперационной ситуации, полученное при внутриротовом сканировании. |
Для валидации процедуры в первых случаях были предприняты два шага: были созданы модели-прототипы для проверки точности ортопедической реставрации, а диагностические коронки из пластмассы были изготовлены для тестирования и модификации, при необходимости, непосредственно во рту пациента. Убедившись в надежности методики, мы решили исключить эти два шага.
2.3. Полный цифровой рабочий процесс. Первоначально требовалось в общей сложности четыре клинических приема:
(i) Сканирование зубных дуг, выполненное с помощью интраорального сканера (IS), позволяет спроектировать временную коронку на основе цифровых слепков (рис. 1 и 2). Все сканирование было выполнено с использованием Planmeca PlanScan (Planmeca Oy, Хельсинки, Финляндия), который не требует использования затемняющего порошка. Сначала мы произвели сканирование всей зубной дуги до второго моляра, затем сканирование противоположной дуги с таким же расширением, а затем сканирование обеих дуг в положении максимального межбугоркового контакта (MIP), что позволило визуализировать программное обеспечение для немедленной связи двух сканов.
(ii) Производится препарирование зубов и корректировка полимерной временной коронки, отфрезерованной из ПММА (рис. 3); сканирование окончательного внутриротового слепка выполняется, если маргинальный пародонт не был затронут при примерке временной коронки; в противном случае сканирование было запланировано на следующий сеанс. Окончательное сканирование было аналогично описанному для временной коронки (фото 4). Единственная разница заключалась в том, что две ретракционные нити десны располагались в десневой борозде отпрепарированных зубов, а более коронковая нить удалялась за несколько мгновений до снятия оттиска.
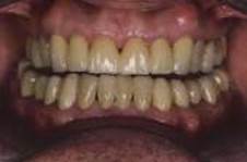
| Рисунок 3: Клиническая оценка эстетического и функционального результата временной реставрации. | Рисунок 4: Внутриротовое цифровое сканирование препаратов обеих зубных дуг. |
(iii) Процедура примерки следующая: примерка пластмассы (рис. 5) и выполнение всех необходимых окклюзионных и/или проксимальных регулировок диагностических коронок.
Диагностические коронки были изготовлены с использованием машины для быстрого прототипирования 020D DigitalWax (DWS, Vicenza 2007) с лазерным источником BluEdge, который сочетает в себе высокую скорость с точностью и качеством поверхности. Он также имеет устройство вертикального позиционирования, которое позволяет основанию моделирующей платформы выступать до степени, соответствующей толщине затвердевшего слоя, благодаря синхронизированному лазеру. Использовалась светочувствительная смола для стереолитографических систем DigitalWax RD096 (DWS, Vicenza 2007), обеспечивающая высокое разрешение, высокое разрешение и долговечность.
Затем было выполнено третье сканирование, которое было импортировано в программное обеспечение САПР Exocad (Exocad GmbH, Германия, 2010 г.) для переноса в цифровой проект любых клинических корректировок, достигнутых на диагностической коронке. Это третье сканирование было выполнено с интраоральным сканированием диагностических коронок в правильном положении и внеротовым сканированием самих коронок с акцентом на дизайн шейки матки.
(iv) Осуществляют доставку и цементирование окончательного протеза (рис. 6 и 7).
| Рисунок 5: Клинические испытания и оценка окончательного дизайна коронок с помощью 3D-печатных коронок: анализ отделочных линий, межпроксимальных областей, окклюзионных контактов и эстетического результата. | Рисунок 6: Разработка проекта 3D-дизайна постоянных коронок. |
Материалами, выбранными для изготовления протезов, были силикат лития и монолитный диоксид циркония из-за их биосовместимости, биомеханических свойств, эстетических качеств и диамагнитных характеристик.
Все окончательные протезы, как монолитные одиночные коронки из диоксида циркония, так и вестибулярные виниры из дисиликата лития и вестибулярные виниры из дисиликата лития на три четверти с небным удлинением, были изготовлены с использованием 5-осевого фрезерного станка с числовым программным управлением Granite фирмы Dental Machine (Dental machine, Пьяченца, Италия). Все 5 осей непрерывно интерполируются и управляются бесщеточными цифровыми двигателями с электронным управлением, с автоматическим управлением током и положением, и могут работать со всеми материалами (воск, ПММА, различные смолы, композитный материал, предварительно спеченный цирконий или оксид алюминия, дисиликат лития, титан). (марки 2 и 5) и сплав Cr-Co).
Все коронки из диоксида циркония были выточены из дисков Zirite (Keramo, Tavernerio, Como, Италия): изостатически прессованный, частично спеченный оксид циркония, стабилизированный иттрием и окрашенный красителем Colorodent NANOZC (Orodent, Castelnuovo del Garda, Verona, Italia). погружение на 3–8 секунд в зависимости от толщины реставрации и спекание в соответствии с инструкциями производителя в печи для спекания Nabertherm (Nabertherm GmbH, Lilienthal, Германия).
Виниры из дисиликата лития были изготовлены из IPS.
Прессованные керамические блоки e.max (Ivoclar Vivadent,
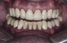
Рисунок 7: Клинический внутриротовой результат после фиксации.
Таблица 1: Количество одиночных коронок из диоксида циркония (Zn); комплексная ортопедическая реабилитация с использованием коронки из диоксида циркония (Zn) и вестибулярного винира из дисиликата лития (DSL vest. vineer); комплексная реабилитация с применением одинарной коронки из диоксида циркония (Zn), вестибулярных виниров из дисиликата лития и вестибулярных виниров из дисиликата лития с небным расширением (виниры DSL 3/4) и их распределение в боковых (P: премоляры, моляры) и передних (A: резцы и клыки) области.
|
Шаан, Лихтенштейн), окрашены красками IPS e.max CAD Crystall Shades (Ivoclar-Vivadent, Шаан, Лихтенштейн) и кристаллизованы в керамических печах в соответствии с инструкциями производителя.
Краевое прилегание абатментов оценивали с помощью силиконовой индикаторной пасты (Fit Checker, GC, Бад-Хомбург, Германия).
Поверхности реставраций из дисиликата лития были протравлены 5% плавиковой кислотой (IPS Ceramic Etching Gel, Ivoclar Vivadent, Schaan, Liechtenstein) в течение 60 секунд, затем промыты и высушены на воздухе. Затем нанесли силан Monobond Plus (Ivoclar Vivadent) и дали подействовать в течение 20 секунд. Внутренние поверхности реставраций циркониевых коронок были подвергнуты пескоструйной обработке и очищены в ультразвуковой установке в течение примерно 1 минуты, а затем промыты и высушены на воздухе. Поверхности абатментов кондиционировали Multilink Primer A/B, смешанным в соотношении 1:1, наносили и очищали в течение не менее 30 секунд. Все реставрации были зафиксированы адгезивно самоотверждающимся фиксирующим композитом Multilink Automix (Ivoclar Vivadent, Шаан, Лихтенштейн).
Наконец, статические и динамические окклюзии были проверены с помощью 40 𝜇 микротонкая артикуляционная бумага (Bausch, Кельн, Германия).¨
Первоначально потребовалось всего четыре клинических приема: подготовка и подгонка временной коронки, сканирование внутриротового слепка, тестирование диагностической коронки, а также установка и цементирование окончательного протеза. Позже, когда операторы приобрели больше опыта, мы смогли избежать клинического испытания диагностической коронки и сократить количество посещений до трех, применяя окклюзионную и проксимальную коррекцию непосредственно к окончательному протезу.
2.4. Следовать до. Клиническое обследование и рентгенографические осмотры были запланированы через один месяц после окончательного цементирования, шесть месяцев и один год.
Повторное обследование было проведено двумя операторами, проводившими лечение. Во время каждого отзыва регистрировались как биологические, так и технические параметры.
Биологические параметры включали глубину зондирования опорных зубов, индекс кровоточивости их сосочков (PBI), вторичный кариес, эндодонтические осложнения и переломы опорных зубов. Техническая оценка включала перелом или сколы коронки или винира, потерю ретенционного износа или шероховатость поверхности, а также эстетические характеристики.
Параметры, зарегистрированные для вестибулярных виниров, вестибулярных виниров на три четверти с небным расширением и коронок, были одинаковыми.
3. Результаты
Всего было установлено 44 протеза 14 пациентам (8 женщинам и 6 мужчинам). Из них 8 пациентов были отобраны для восстановления одиночными коронками на жевательных зубах фрезерованным монолитным диоксидом циркония (5 женщин и 3 мужчин); 5 пациентам потребовалась комплексная ортопедическая реабилитация: из них 2 потребовались монолитные коронки из диоксида циркония на два соседних боковых зуба (2 мужчины), 1 женщине потребовались два вестибулярных винира из дисиликата лития на передние зубы, а двум женщинам потребовалась монолитная коронка из диоксида циркония на три зуба, распределенных между обоими зубами. зубные дуги. Наконец, была завершена полная ортопедическая реабилитация: она состояла из 10 монолитных одиночных коронок из диоксида циркония (8 на боковых зубах и 2 на передних зубах), 10 вестибулярных виниров из дисиликата лития и 4 вестибулярных виниров из дисиликата лития с небным удлинением (таблица 1).
Ни один из окончательных протезов, изготовленных цифровым методом, не нуждался в корректировке окклюзионной и интерпроксимальной поверхностей, при этом окклюзионные корректировки диагностических коронок были полностью сопоставимы с таковыми, выполненными на протезах, изготовленных традиционным способом.
Ни в одном из зубов с коронками не было отказа ортопедического компонента. В одном случае произошел перелом трехчетвертной вестибулярной винира с небным покрытием на одном премоляре, связанный с окклюзионной перегрузкой. Не было необходимости повторно обрабатывать цифровой слепок, так как файл обработки CAD STL использовался для повторной фрезеровки, чтобы можно было сразу заменить винир. После максимально возможной балансировки зубного контакта и указания пациенту использовать защитную ночную каппу проблема больше не возникала.
4. Дискуссия
Цифровая обработка CAD/CAM, как и традиционная обработка, требует цифрового слепка, по которому можно спроектировать реставрацию. Цифровой слепок можно получить путем оцифровки физического слепка, полученного из традиционных оттисков, или на основе слепка, созданного в цифровом виде с помощью внутриротового сканера.
Как лабораторный сканер, так и внутриротовой сканер обеспечивают клинически приемлемую точность создания протезных конструкций [15, 16]. На первый, однако, влияют внутренние ошибки и изменчивость из-за использования обычных оттискных материалов и их развития в гипсе. Интраоральное сканирование может значительно облегчить и стандартизировать снятие оттиска даже в более сложных случаях, таких как сканирование полного зубного ряда [17] и даже в случае беззубых дуг [18], хотя для этих типов клинических случаев потребуются дальнейшие клинические исследования. Однако следует отметить, что существует некоторая вариабельность в отношении точности и правильности различных систем внутриротового сканирования [19].
К преимуществам использования цифрового метода также относится значительная экономия времени и действий, как для стоматолога в клинике, так и для зубного техника в лаборатории. По сравнению с традиционными оттисками цифровые оттиски не требуют выбора оттискной ложки, расхода материала, дезинфекции материала и оттискной ложки, а также необходимости упаковки и доставки оттиска. Благодаря этому методу лаборатория теперь может обойтись без этапов отливки слепка и уточнения слепка, а также использования артикуляторов.
Исследование Lee и Gallucci также показало, что цифровой метод более ценится операторами, чем традиционный, и что его применение позволяет значительно сэкономить время [20].
Освоение и освоение методики операторами было намного проще и эффективнее, учитывая возможность модификации и пересканирования в ходе работы [21].
Методы обработки CAD/CAM были одними из первых цифровых инноваций, внедренных в стоматологию примерно в 1980 году [22]. Они позволяют обрабатывать традиционные материалы, такие как кобальт-хромовые сплавы, композитные и акриловые смолы, полевошпатную керамику, некоторые армированные стеклокерамики и воск, посредством процессов вычитания с использованием фрезерных станков с ЧПУ [23]. Эти процессы обработки быстрее и дешевле по сравнению с традиционной обработкой, сохраняя при этом превосходный уровень качества [24]. Однако одним из основных преимуществ использования методов CAD/CAM является возможность работы с материалами, которые иначе нельзя было бы использовать в стоматологии. Эти материалы включают титан, титановые сплавы и поликристаллическую керамику, такую как оксид циркония.
Благодаря своим характеристикам оксид циркония в настоящее время стал одним из наиболее широко используемых материалов для изготовления несъемных протезов с обработкой CAD/CAM [25]. Он обладает высокой устойчивостью к изгибу и разрушению, малым удельным весом по сравнению с другими протезными материалами и диамагнитными свойствами в случае необходимости МРТ. Тем не менее, его эстетическое превосходство над металлическими конструкциями, возможность быть более консервативным с твердыми зубными тканями, поскольку толщина может быть уменьшена по сравнению с толщиной металлокерамических коронок, его отличная биосовместимость и возможность получения безметалловых реставраций являются причинами. для увеличения его использования. Биосовместимость диоксида циркония была продемонстрирована в многочисленных исследованиях in vitro [26] и in vivo [27, 28], показавших отсутствие мутаций клеточного генома и других побочных реакций в биологических тканях, подвергшихся воздействию образцов оксида циркония. Эти же исследования показывают, что его высокая биосовместимость в основном обусловлена его внутренней ионной стабильностью, которая сводит к минимуму воспалительную реакцию. В настоящее время диоксид циркония используется для изготовления каркасов протезов, абатментов имплантатов, монолитных реставраций, включая вкладки, коронки, мостовидные протезы и полные дуги, а также ортодонтических брекетов [29].
Вопреки распространенному мнению, измельчение оксида циркония требует очень надежной и структурно стабильной системы удаления. Фактически, при фрезеровании диска из материала в сыром состоянии необходимо контролировать и контролировать скорость, усилие и движения станка, чтобы предотвратить изломы (видимые или невидимые и очень коварные) и слишком большие поднутрения.
По этой причине мы использовали 5-осевой промышленный фрезерный станок с инструментами, способными обеспечить превосходную точность фрезерования при толщине в 1,5 десятых благодаря их структурной стабильности и системе крепления с горячей посадкой.
Этот результат, после спекания в печи и первого окрашивания для выявления его потенциальной прозрачности, оказывается визуально и ощутимо удивительно тонким артефактом, способным идеально адаптироваться к анатомической структуре зуба пациента.
Это исследование согласуется с уже доступной литературой, в которой утверждается, что возможность цифрового проектирования протезного артефакта непосредственно из отсканированной модели, что позволяет избежать традиционных шагов снятия оттиска и отливки модели, снижает вероятность ошибки и повышает предельную точность . протеза и проксимальных контактов [30].
5. Вывод
Авторы согласны с литературными данными в утверждении, что весь цифровой рабочий процесс, от сканирования оттиска до изготовления протеза, доказал свою надежность и воспроизводимость в клинической практике.
Хотя могут потребоваться дальнейшие сравнительные исследования точности и правильности внутриротовых сканеров, клинический результат, улучшенное соблюдение пациентом режима лечения и экономия времени и материалов, достигаемые с помощью этого метода, представляют собой значительный прогресс в ортопедической стоматологии и выборе инновационных материалов, которые он позволяет, несомненно, является важным шагом в научном и биологическом прогрессе.
Конкурирующие интересы
Авторы сообщают об отсутствии конкурирующих интересов, связанных с этим исследованием.
Благодарности
Авторы хотели бы поблагодарить Francodental, Павия, за предоставление внутриротового сканера PlanScan для клинических процедур, а также инженера Массимо Бозетти за его помощь в отношении цифровых технологий.
Рекомендации
[1] Г. Кугель, «Снятие слепков: традиционные методы остаются неизменными по мере развития цифровых технологий», Сборник непрерывного образования в области стоматологии , том. 35, нет. 3, стр. 202–203, 2014.
[2] М. Циммерманн, А. Мел, В. Х. Морманн и С. Райх,¨
«Системы внутриротового сканирования — текущий обзор», International Journal of Computerized Dentistry , vol. 18, нет. 2, стр. 101–129, 2015.
[3] К. Уеда, Ф. Бойер, М. Штиммельмайр, К. Эрдельт, К. Кеул и Ж.-Ф. Guth, «Подгонка 4-элементных FDP из CoCr и диоксида циркония после обычных и цифровых оттисков», Clinical Oral Investigations , vol. 20, нет. 2, стр. 283–289, 2016.
[4] Т. Абдель-Азим, К. Роджерс, Э. Элатамна, А. Зандинежад, М. Мец и Д. Мортон, «Сравнение краевой посадки коронок из дисиликата лития, изготовленных с использованием технологии CAD/CAM с использованием обычных оттисков и двух внутриротовых оттисков». цифровые сканеры», Journal of Prosthetic Dentistry , vol. 114, нет. 4. С. 554–559, 2015.
[5] Г. Прадиес, К. Зарауз, А. Вальверде, А. Феррейроа и Ф. Мартинес-Рус, «Клиническая оценка, сравнивающая посадку цельнокерамических коронок, полученных из силикона, и цифровых внутриротовых слепков на основе технологии выборки волнового фронта». Стоматологический журнал , вып. 43, нет. 2, стр. 201–208, 2015.
[6] J. Ng, D. Ruse и C. Wyatt, «Сравнение краевого прилегания коронок, изготовленных цифровыми и обычными методами», Journal of Prosthetic Dentistry , vol. 112, нет. 3, стр. 555–560, 2014.
[7] Д. Арберг, Х.К. Лауэр, М. Арберг и П. Вейгл, «Оценка соответствия и эффективности цельнокерамических реставраций, изготовленных с помощью CAD/CAM, на основе прямой и непрямой оцифровки: двойное слепое рандомизированное клиническое исследование», Clinical Oral Расследования , том. 20, нет. 2, стр. 291–300, 2016.
[8] С. Б. Патцельт, К. Лампринос, С. Стампф и В. Атт, «Временная эффективность внутриротовых сканеров: сравнительное исследование in vitro», Журнал Американской стоматологической ассоциации , том. 145, нет. 6, стр. 542–551, 2014.
[9] Т. Джода и У. Браггер, «Анализ эффективности использования времени, сравнивающий цифровые и обычные рабочие процессы для коронок на имплантатах: проспективное перекрестное клиническое испытание», Международный журнал устных и челюстно-лицевых имплантатов , том. 30, нет. 5, стр. 1047–1053, 2015.
[10] Х. Тамим, Х. Скьервен, А. Экфельдт и Х. Дж. Ронолд, «Клиническая оценка металлокерамических коронок CAD / CAM, изготовленных из внутриротовых цифровых оттисков», Международный журнал ортопедии, том . 27, нет. 4, стр. 331–337, 2014.
[11] С. Тинг-шу и С. Цзянь, «Техника внутриротового цифрового оттиска: обзор», Журнал ортопедии , том. 24, нет. 4, стр. 313–321, 2015.
[12] E. Yuzbasioglu, H. Kurt, R. Turunc и H. Bilir, «Сравнение цифровых и обычных методов оттиска: оценка восприятия пациентов, комфорт лечения, эффективность и клинические результаты», BMC Oral Health , vol. 14, нет. 1, статья 10, 2014.
[13] Т. Джода и У. Браггер, «Результаты, ориентированные на пациента, при сравнении цифровых и обычных процедур снятия оттисков с имплантатов:
рандомизированное перекрестное исследование», Clinical Oral Implants Research , 2015.
[14] E. Yuzbasioglu, H. Kurt, R. Turunc и H. Bilir, «Сравнение цифровых и обычных методов оттиска: оценка восприятия пациентов, комфорт лечения, эффективность и клинические результаты», BMC Oral Health , vol. 14, статья 10, 7 страниц, 2014.
[15] Дж. С. Алмейда и Сильва, К. Эрдельт, Д. Эдельхофф и др., «Краевая и внутренняя подгонка четырехэлементных несъемных зубных протезов из диоксида циркония на основе цифровых и обычных методов оттиска», Clinical Oral Investigations, vol . 18, нет. 2, стр. 515–523, 2014.
[16] Р. Скотти, П. Карделли, П. Балдиссара и К. Монако, «Клиническая примерка одиночных коронок из диоксида циркония CAD/CAM, полученных из цифровых внутриротовых оттисков на основе выборки активного волнового фронта», Журнал стоматологии, 2011 .
[17] А. Эндер и А. Мел, «Оценка in-vitro точности обычных и цифровых методов получения слепков зубов с полной дугой», Quintessence International , vol. 46, нет. 1, стр. 9–17, 2015.
[18] П. Папаспиридакос, Г.О. Галлуччи, К.-Дж. Chen, S. Hanssen, I. Naert и B. Vandenberghe, «Цифровые и обычные слепки имплантатов для беззубых пациентов: результаты точности», Clinical Oral Implants Research , vol. 27, нет. 4. С. 465–472, 2016.
[19] P. Seelbach, C. Brueckel и B. Wostmann, «Точность цифровых¨ и обычных методов оттиска и рабочего процесса», Clinical Oral Investigations , vol. 17, нет. 7, стр. 1759–1764, 2013.
[20] С. Дж. Ли и Г. Г. Галлуччи, «Цифровые и обычные слепки имплантатов: результаты эффективности», Clinical Oral Implants Research , vol. 24, нет. 1, стр. 111–115, 2013.
[21] АСК Перссон, А. Оден, М. Андерссон и Г. Сандборг-Инглунд, «Оцифровка смоделированных клинических стоматологических оттисков: виртуальный трехмерный анализ точности», Стоматологические материалы , том. 25, нет. 7, стр. 929–936, 2009.
[22] Т. Миядзаки, Ю. Хотта, Дж. Кунии, С. Курияма и Ю. Тамаки, «Обзор стоматологических CAD / CAM: текущее состояние и перспективы на будущее на основе 20-летнего опыта», Dental Materials Journal , vol. 28, нет. 1, стр. 44–56, 2009 г.
[23] Ф. Зароне, С. Руссо и Р. Соррентино, «От металлического сплава фарфора до диоксида циркония: клинические и экспериментальные соображения», Стоматологические материалы , том. 27, нет. 1, стр. 83–96, 2011.
[24] LM Kane, D. Chronaios, M. Sierraalta и FM George, «Краевая и внутренняя адаптация фрезерованных кобальт-хромовых колпачков», Журнал ортопедической стоматологии , том. 114, нет. 5, стр. 680–685, 2015.
[25] Р. Соррентино, Г. Де Симоне, С. Тете, С. Руссо и Ф. Зароне, «Пятилетнее проспективное клиническое исследование задних трехзвенных несъемных зубных протезов на основе диоксида циркония», Clinical Oral Investigations, vol . 16, нет. 3, стр. 977–985, 2012.
[26] Сильва В.В., Ламейрас Ф.С. и Лобато З.И.П., «Биологическая реакционная способность композитов цирконий-гидроксиапатит», Журнал исследований биомедицинских материалов , том. 63, нет. 5, стр. 583–590, 2002.
[27] П. Кристель, А. Менье, М. Хеллер, Дж. П. Торре и К. Н. Пей, «Механические свойства и краткосрочная оценка in-vivo частично стабилизированного оксидом иттрия диоксида циркония», Журнал исследований биомедицинских материалов, том . 23, нет. 1, стр. 45–61, 1989.
[28] PF Manicone, P. Rossi Iommetti и L. Raffaelli, «Обзор циркониевой керамики: основные свойства и клиническое применение», Journal of Dentistry , vol. 35, нет. 11, стр. 819–826, 2007.
[29] М. Феррари, А. Вичи и Ф. Зароне, «Циркониевые абатменты и реставрации: от лабораторных до клинических исследований», Стоматологические материалы , том. 31, нет. 3, стр. e63–e76, 2015 г.
[30] С. Куас, Х. Рудольф и Р. Г. Лутхардт, «Прямое механическое получение данных оттисков зубов для изготовления реставраций CAD / CAM», Journalof Dentistry , vol. 35, нет. 12, стр. 903–908, 2007.
Издательская корпорация Хиндави
Международный журнал стоматологии, том 2016 г., идентификатор статьи 9840594, 10 страниц http://dx.doi.org/10.1155/2016/9840594