Клиническое исследование. От хирургии по шаблонам до окончательного протезирования. Полностью цифровая процедура: проспективное клиническое исследование 15 пациентов с частичной адентией

Цель: Продемонстрировать управляемую установку имплантатов и применение несъемных ортопедических реставраций с опорой на имплантаты с полностью цифровым рабочим процессом.
Метод: В течение 2-летнего периода все пациенты с частичной адентией заднего отдела верхней челюсти, нуждающиеся в несъемных протезах с опорой на имплантаты, были включены в это исследование. Протокол требовал внутриротового сканирования и конусно-лучевой компьютерной томографии (КЛКТ), наложения зубо-десневой информации на анатомию кости, хирургического планирования, хирургических шаблонов с опорой на зубы, напечатанных на 3D-принтере, а также моделирования и фрезерования временных конструкций из полиметилметакрилата (ПММА) для немедленной нагрузки.  
Через 3 месяца был сделан окончательный оптический оттиск, изготовлены фрезерованные каркасы из диоксида циркония и модели, напечатанные на 3D-принтере. Каркасы были облицованы керамикой и доставлены пациентам. Полученные результаты. Для этого исследования были отобраны пятнадцать пациентов. Хирургические шаблоны были стабильны. Было установлено 30 имплантатов (BTK Safe, BTK, Виченца, Италия) и немедленно загружены временными конструкциями из ПММА. Через 3 месяца временные конструкции были заменены окончательными реставрациями из циркониевой керамики, изготовленными с использованием полностью цифрового процесса.
Через 6 месяцев ни один из пациентов не сообщил о каких-либо биологических или функциональных проблемах с протезами на имплантатах.
Вывод:  Настоящая процедура полностью цифрового планирования имплантатов и несъемных реставраций с опорой на имплантаты с коротким пролетом показала свою надежность. Для подтверждения этих результатов необходимы дальнейшие исследования.


Издательская корпорация Хиндави
Международный журнал стоматологии, том 2016 г.,
идентификатор статьи 7358423,
7 страниц http://dx.doi.org/10.1155/2016/7358423
Клиническое исследование
От хирургии по шаблонам до окончательного протезирования.
Полностью цифровая процедура: проспективное клиническое исследование 15 пациентов с частичной адентией

Джорджио Андреа Дольчини, 1 Марко Коломбо, 2 и Карло Мангано 3 1 Частная практика, 21100 Комо, Италия 2 Частная практика, 21052 Бусто Арсицио, Италия 3

Кафедра стоматологических наук, Университет Вита Салюте Сан-Раффаэле, 20132 Милан, Италия

Корреспонденцию следует направлять Джорджио Андреа Дольчини; giorgio.dolcini@hotmail.it

Поступила в редакцию 20 марта 2016 г.; Принято 19 июня 2016 г.

Академический редактор: Томас Фортин

2023-06-23_12-47-05.png

1. Введение

Цифровой рабочий процесс играет все более важную роль в современной стоматологии [1, 2].

Преимущество управляемой имплантации заключается в том, что имплантат устанавливается более безопасным и предсказуемым образом с использованием хирургического шаблона, разработанного и изготовленного с использованием технологии автоматизированного проектирования/автоматизированного производства (CAD/CAM); это ортопедическое размещение достигается с помощью программного обеспечения для виртуального планирования имплантации [2, 3]. Имплантационная хирургия по шаблонам также может помочь стоматологу провести безлоскутную имплантацию с меньшим дискомфортом для пациента и более быстрым временем работы и заживления [2, 3].

Цифровое сканирование и конусно-лучевая компьютерная томография (КЛКТ) — это процедуры, которые в настоящее время используются для цифрового рабочего процесса при планировании управляемой имплантации [4, 5]. Снятие оптических оттисков с помощью мощных интраоральных сканеров для изготовления постоянных протезов на естественных зубах и зубных имплантатах получает широкое распространение и имеет множество преимуществ по сравнению с традиционным способом снятия оттисков, предполагающим меньший дискомфорт для пациента, а также большую скорость, точность, точность и надежность. воспроизводимость [6–9]. Снятие оптических оттисков позволяет собрать всю трехмерную (3D) информацию о зубодесневых тканях [7, 8]. С другой стороны, КЛКТ позволяет собирать всю трехмерную информацию об анатомии остаточной кости гребня, включая высоту, толщину и угол [4, 10].

Составление и наложение информации о зубах и деснах, полученной с помощью внутриротового сканирования, а также информации о костях, полученной с помощью КЛКТ, теперь позволяют виртуально планировать установку имплантатов, изготавливать шаблоны для хирургии по шаблонам, а также моделировать и готовить временные конструкции для немедленной нагрузки [11, 12].

Целью данного исследования является демонстрация управляемой установки имплантатов и применения несъемных ортопедических реставраций с опорой на имплантаты, выполненных с использованием полностью цифрового рабочего процесса. Для этой цели использовались методы внутриротового сканирования, виртуальное планирование, компьютерная хирургия и протокол немедленной загрузки временных протезов.

2. Материалы и методы

2.1. Отбор пациентов. В период с января 2014 г. по январь 2015 г. все пациенты, обратившиеся в две частные стоматологические клиники с частичной адентией в задней части верхней челюсти и обратившиеся с просьбой о восстановлении жевательной эффективности с помощью несъемного протеза с опорой на имплантаты, были рассмотрены для включения в это исследование. Критерии включения состояли из (1) частичной адентии в задних областях (премоляры/моляры) верхней челюсти, (2) достаточного количества костной ткани для установки имплантатов диаметром не менее 3,75 мм и длиной 8,0 мм и (3) готовности к имплантации. полностью участвовать в протоколе. Из исследования были исключены (1) пациенты с системными заболеваниями, имеющие противопоказания к имплантации (например, неконтролируемый диабет, заболевания крови и психические заболевания), (2) пациенты, проходящие химиотерапию и/или лучевую терапию, (3) пациенты, получающие иммуносупрессивную терапию, (4) пациенты, получающие бисфосфонаты перорально и/или парентерально, (5) пациенты с активными инфекциями полости рта или пародонта (гной, свищи и пародонтальные абсцессы), (6) пациенты с другими заболеваниями полости рта (везикулобуллезные и язвенные болезни, красные и белые поражения, заболевания слюнных желез и кистозные поражения), (7) пациенты с плохой гигиеной полости рта, (8) пациенты с ограниченным открыванием рта, функциональными ограничениями или височно-нижнечелюстными расстройствами, (9) курильщики и (10) бруксисты. Протокол этого исследования был подробно разъяснен каждому пациенту, подписавшему информированное согласие на имплантацию. Исследование проводилось в соответствии с протоколами, установленными Хельсинкской декларацией 1975 г. (обзор 2008 г.).

2.2. Получение изображения. Каждому пациенту проводили полное обследование мягких и твердых тканей. В частности, за одно посещение, предназначенное исключительно для получения изображений, каждому пациенту было проведено оптическое сканирование с помощью мощного интраорального сканера (Trios, 3-Shape, Копенгаген, Дания) и рентгенологическое исследование с помощью КЛКТ (CS 9300, Carestream Health, Rochester, Нью-Йорк, США). В частности, первым обследованием, которое проходили пациенты, было внутриротовое сканирование обеих дуг, включая сканирование прикуса. Это сканирование было выполнено после размещения нескольких умеренно рентгеноконтрастных маркеров (не менее 3) на зубах, прилегающих к беззубому участку, с использованием модифицированного стеклоиономерного цемента (Ketac Cem Radiopaque, 3M ESPE, Сент-Пол, Миннесота, США). Особое внимание уделялось сканированию зубов, прилегающих к беззубому участку, и окружающих мягких тканей. Сразу же после этого пациенту была проведена КЛКТ-сканирование с сохранением рентгеноконтрастных маркеров. Было принято поле зрения (FOV) размером 10 × 5 см, чтобы можно было собрать достаточное количество данных, которые также можно было бы наложить друг на друга. На этом этапе файлы владельцев, сгенерированные внутриротовым сканированием, и файлы Digital Imaging and Communication in Medicine (DICOM), созданные с помощью КЛКТ, были преобразованы в файлы Solid-to-Layer (STL) и отправлены в сервисный центр (BTK Guided). Surgery, BTK, Dueville, Vicenza, Italy), в случае необходимости. Затем пациент был выписан после удаления рентгеноконтрастных маркеров.

2.3. Обработка изображений и проект управляемой хирургии. Файлы STL, полученные при внутриротовом сканировании, были наложены на файлы STL, полученные при реконструкции КЛКТ с использованием проприетарного программного обеспечения (BTK Guided Implant Planning, BTK, Dueville, Vicenza, Italy) для планирования управляемой хирургии. Наложение было получено следующим образом. Во-первых, модель внутриротового сканирования была грубо наложена на модель КЛКТ с использованием «трехточечного» инструмента регистрации. После этого первого грубого выравнивания была выполнена окончательная регистрация с использованием функции «наилучшего выравнивания». Полученные наложенные модели затем использовались для создания хирургических шаблонов с опорой на зубы. Таким образом, размещение имплантатов планировалось виртуально с учетом положения, глубины и угла внутри остаточного костного гребня, а затем мы приступили к моделированию непосредственных временных протезов, которые должны быть размещены на месте в день операции. План был отправлен стоматологу для утверждения и внесения необходимых изменений. После того, как план был подтвержден и проверен, сервисный центр физически изготовил шаблоны для хирургии по шаблонам из прозрачной акриловой пластмассы с помощью 3D-печати; временные протезы фрезеровали из полиметилметакрилата (ПММА). Протезы были доставлены стоматологу вместе с набором для имплантации по шаблонам, временными титановыми абатментами и хирургическими шаблонами или шаблонами для установки имплантатов.

2.4. Хирургия и немедленная нагрузка. Перед операцией больному полоскали рот раствором хлоргексидина биглюконата 0,2% в течение 2 минут. Местный анестетик был получен мепивакаином (4% инфильтрация адреналином 1:100 000). Хирургический шаблон с опорой на зубы был установлен, и вмешательство было готово к началу. Операцию выполняли малоинвазивным безлоскутным способом, без подъема слизисто-надкостничного лоскута. Первым этапом было удаление разросшейся ткани с помощью пробойника, чтобы обеспечить доступ к нижележащему костному гребню, переходя к препарированию ложа имплантата с помощью сверл увеличивающегося диаметра, ориентируясь на размещение, угол и глубину хирургическим шаблоном. В частности, контроль угла и глубины был достигнут с помощью ряда редукторов диаметра, расположенных внутри втулки сверла. По сути, по мере увеличения размера сверла редукторы диаметра менялись до тех пор, пока не был достигнут окончательный диаметр, определенный при планировании операции. Использовались только имплантаты с внутренним шестигранником (BTK Safe, BTK, Dueville, Vicenza, Italy) диаметром 3,75 мм и длиной 8,0 мм, 10,0 мм или 12,0 мм. Введение имплантата, зажим и затягивание выполнялись с помощью динамометрического ключа через шаблон, т. е. с установленным хирургическим шаблоном. По завершении установки имплантата шаблон был удален из полости рта. Стоматолог смог проверить глубину установки имплантатов по отношению к слизистой оболочке. Сразу же были сделаны рентгеновские снимки внутриротовых имплантатов и подогнаны временные титановые абатменты и временные реставрации из ПММА. Реставрации были установлены без необходимости перебазировки. После устранения незначительного трения реставрации были отполированы и привинчены к абатментам. Окклюзионное отверстие было временно закрыто композитом. Окклюзия была тщательно проверена с помощью окклюзионной регистрационной бумаги. Затем пациент был выписан с назначением антибиотиков (амоксициллин, клавулановая кислота, 1 г каждые 12 часов, в общей сложности 6 дней) и анальгетиков (ибупрофен, 600 мг, всего 3 дня). Пациенту было предложено полоскание хлоргексидина глюконатом 0,2% 2 -3 раза в день в течение 4-5 дней после операции и избегать жевания твердой пищи в течение 1 недели.

2.5. Окончательный протез. Временные конструкции из ПММА оставались на месте в течение 3 месяцев; после этого пациенты были отозваны для второго раунда интраоральной визуализации, необходимой для моделирования и изготовления окончательных протезов. Это сканирование было выполнено после удаления временных реставраций и абатментов и последующего размещения скан-боди в полиэфир-эфир-кетон (PEEK). Эти устройства переноса были использованы из-за их идеальных оптических характеристик, поскольку они не отражают свет, как металлы, и поэтому позволяют определять точное положение имплантатов. Затем абатменты и временные протезы были заменены, и пациент был выписан. Окончательное сканирование затем было преобразовано в файл STL, который был отправлен в лабораторию и использован для определения точного пространственного положения имплантатов и планирования окончательной конструкции протеза (каркас из диоксида циркония). Каркас был фрезерован из диоксида циркония, примерен на модели рта пациента, созданной с помощью 3D-принтера, и отправлен врачу для примерки в ротовой полости. Модель была напечатана на 3D-принтере из смолы. Во время испытания стоматолог смог оценить качество краевого прилегания каркаса из диоксида циркония к окончательным абатментам. На этом этапе каркас был отправлен обратно в лабораторию для окончательной обработки, то есть облицовки керамикой. Через неделю пациентку вызвали для доставки окончательной реставрации из циркониевой керамики. Окклюзия была проверена с помощью регистрационных бумаг, после чего пациент был выписан с его/ее окончательной реставрацией, которая была зацементирована на ввинчиваемых абатментах с небольшим количеством оксидно-цинкового эвгенольного цемента.

3. Результаты

Пятнадцать пациентов (10 мужчин и 5 женщин в возрасте от 26 и 70 лет, средний возраст 51,5 ± 12,0 ), нуждающихся в реабилитации полости рта с помощью фиксированных протезов с опорой на имплантаты в задней области верхней челюсти, были отобраны и набраны для участия в этом проспективном клиническом исследовании. После процедуры захвата изображения с использованием внутриротового сканирования и КЛКТ хирургическое планирование было выполнено с помощью специального программного обеспечения. Затем с помощью 3D-печати были изготовлены хирургические шаблоны для размещения имплантатов; временные протезы для немедленной нагрузки фрезеровали из ПММА. Каждому пациенту было установлено два имплантата посредством управляемой хирургической процедуры с установкой временного протеза во время одного и того же хирургического сеанса и немедленной нагрузкой. Хирургические шаблоны легко располагались на опорных зубах и были достаточно стабильны. Всего безлоскутным методом было установлено 30 имплантатов. Имплантаты были немедленно загружены несъемными частичными протезами из ПММА. Эти протезы легко адаптировались к временным титановым абатментам, которые ввинчивались и оставались на месте в течение трех месяцев. В течение недели после вмешательства пациенты не сообщали о послеоперационном дискомфорте или боли и были очень довольны как эстетическими, так и функциональными аспектами нагруженных реставраций. По истечении временного периода был снят окончательный оптический оттиск, изготовлены каркасы из диоксида циркония и изготовлены 3D-модели из полимера. Каркасы оказались достаточно точными при внутриротовом тесте и были возвращены лаборанту для нанесения керамического покрытия и эстетической доводки. Через 1 неделю протезы из диоксида циркония были доставлены пациенту и зацементированы на постоянные титановые абатменты. При последующем осмотре через 6 месяцев ни один пациент не сообщил о каких-либо проблемах или биологических или функциональных осложнениях, связанных с реставрациями с опорой на имплантаты. Все протезы функционировали, и все пациенты были очень довольны (рис. 1–4).

4. Дискуссия

Возможность виртуально планировать установку зубных имплантатов и впоследствии размещать фиксаторы в точном положении на нужной глубине и под нужным углом с помощью точно фрезерованных или напечатанных на 3D-принтере хирургических шаблонов уже давно стала клинической реальностью [2, 3, 5, 12]. Направленная хирургия была успешной процедурой более 10 лет, о чем свидетельствуют несколько клинических исследований [12, 13] и систематических обзоров [3, 14, 15]. Первоначально использование методов управляемой хирургии было ограничено сложными случаями (пациенты с полной адентией, с изготовлением шаблонов с опорой на кость или слизистую оболочку); на самом деле, чтобы получить информацию об анатомии костей, пациент должен был пройти обычную компьютерную аксиальную томографию (КТ-сканирование), включающую воздействие значительного количества ионизирующего излучения [3, 14, 15].

Теперь все изменилось. Внедрение конусно-лучевой компьютерной томографии (КЛКТ), которая может фиксировать трехмерную информацию об анатомии костей при низких дозах облучения, значительно расширило потенциал применения хирургии по шаблонам [4, 16]. Эти приложения теперь распространяются на хирургические шаблоны с опорой на зубы и, следовательно, на случаи, когда планирование требует размещения меньшего количества фиксаторов. Внедрение интраоральных сканеров, мощных инструментов для получения информации о зубах и деснах, является дальнейшим развитием доступных методов получения изображений для хирургического планирования [6-9]. На самом деле, эти машины позволяют получать всю необходимую информацию о зубах и деснах с помощью луча света [7, 8] и с точностью, четкостью и разрешением изображения, значительно превышающими полученные с помощью КТ (и даже КЛКТ). Полученную информацию можно легко комбинировать и накладывать на информацию об архитектуре кости благодаря открытому программному обеспечению обратного проектирования или проприетарному программному обеспечению [11, 12]. Таким образом, можно создать виртуальную модель пациента, содержащую всю необходимую информацию.

                 (а)                                               (б)                                                (в)
image004.png

                (г)                                               (д)                                              (е)
image008.png


Рисунок 1: Получение изображения: (а) предоперационная клиническая картина, вид сбоку; б — клиническая картина до операции, окклюзионная проекция; (в) внутриротовое сканирование с эталонами, вид сбоку; (d) внутриротовое сканирование с эталонами, окклюзионная проекция; (e) Объемная визуализация КЛКТ с эталонами, вид сбоку; (е) Объемная визуализация КЛКТ с эталонами, вид спереди.


image012.png

        (а)                                                    (б)                                              (в)

image016.png

       (г)                                               (д)                                                  (е)

Рисунок 2: Хирургическое и ортопедическое 3D-планирование: (а) перекрытие внутриротового сканирования и КЛКТ; (b) перекрытие внутриротового сканирования и КЛКТ с смоделированными временными реставрациями; © наложение внутриротового сканирования и КЛКТ с моделированием временной реставрации и планированием имплантации (окклюзионная проекция); (d) наложение внутриротового сканирования и КЛКТ с моделированием временной реставрации и планированием имплантации (вид сбоку); (e) планирование имплантата (поперечные срезы); (е) планирование имплантации (панорекс).

       (а)                                                  (б)                                                 (в)
image020.png
                     
     (г)                                                      (д)                                                (е)
image024.png

Рисунок 3: Операция и немедленная временная установка: (а) хирургический шаблон в нужном положении; (б) подготовка хирургических мест; © установка имплантата; (d) все имплантаты устанавливаются безлоскутным способом; (e) временная реставрация из ПММА устанавливается на временные титановые абатменты; (f) временный ПММА привинчен к имплантатам.


image028.png

      (а)                                                      (б)                                                     (в)

image032.png

       (г)                                                       (д)                                                    (е)

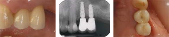
Рисунок 4: Через три месяца после установки имплантата делается окончательный внутриротовой слепок, изготавливается и доставляется пациенту окончательная реставрация с опорой на имплантат: (а) цифровой слепок с скан-боди из PEEK; (б) 3D-модель с циркониевым каркасом; © каркас из диоксида циркония устанавливается на постоянные титановые абатменты и проверяется на точность/точность (окклюзионный вид); (d) изготовление окончательной циркониевой керамики, зацементированной на окончательные титановые абатменты (вид сбоку); (e) периапикальная рентгенограмма при доставке окончательной реставрации с опорой на имплантаты; (f) 6-месячный контроль окончательной реставрации из циркониевой керамики (окклюзионная проекция).

(кость, зуб и десна) для проведения вмешательства по установке имплантата с использованием хирургических шаблонов, опирающихся на зубы [12].

Для этого проспективного исследования было отобрано 15 пациентов, которым была проведена установка 30 имплантатов с использованием управляемых хирургических процедур. Напечатанные на 3D-принтере хирургические шаблоны оказались достаточно стабильными, а вмешательства прошли быстро и гладко по безлоскутной методике. Возможность оперировать без подъема лоскута является основным биологическим преимуществом хирургии по шаблонам, что дает немедленную пользу для пациента [17, 18]. Послеоперационные неудобства и дискомфорт значительно уменьшаются, даже полностью устраняются при использовании безлоскутного метода [18]. Имплантаты были установлены без затруднений и сразу загружены временными протезами из ПММА, полученными фрезерованием; эти протезы были отправлены стоматологу перед операцией и установкой имплантатов. Возможность немедленной загрузки имплантатов является еще одним важным преимуществом метода, использованного в этом исследовании. Регулировка предварительно отформованных оболочек и временных конструкций может занимать много времени при обычных процедурах немедленной загрузки [19]; время, необходимое для перебазировки, адаптации, улучшения и полировки временных реставраций, неизбежно влечет за собой дискомфорт для пациента, которому необходимо вернуться домой и отдохнуть после операции [20, 21]. Современные методы планирования имплантатов и протезов могут значительно сократить время операции, поскольку в этом исследовании, где временные реставрации из ПММА были легко установлены без необходимости перебазировки и часто требовали лишь незначительной корректировки. Временные протезы оставались на месте в течение 3 месяцев и впоследствии были заменены постоянными протезами из керамики и циркония.

Имплантаты были изготовлены с использованием полностью цифрового процесса. Второй раунд интраоральной визуализации был проведен после размещения во рту современных устройств для переноса (сканбоди) из непрозрачного материала [22–24]. Эти устройства позволили передать точное местоположение имплантатов на виртуальный план, чтобы обеспечить компьютерное проектирование (CAD) протезных структур (каркасов) из диоксида циркония. Впоследствии структуры из диоксида циркония были измельчены [25] и затем опробованы во рту. После испытания техник мог затем нанести керамику на конструкции с помощью модели из смолы, напечатанной на 3D-принтере. Устройства были доставлены и настроены в соответствии с эстетическими и функциональными требованиями к полному удовлетворению пациентов. При осмотре через 6 месяцев проблем биологического или ортопедического характера выявлено не было, все реставрации функционировали и находились под нагрузкой.

Это исследование подлежит ограничениям. Во-первых, количество пролеченных пациентов (и, следовательно, количество установленных имплантатов) было довольно ограниченным; кроме того, пациенты были осмотрены только через 6 месяцев после установки постоянных реставраций. Безусловно, необходимы дальнейшие исследования, чтобы утвердить этот метод планирования имплантатов. И последнее, но не менее важное: использование этой техники для хирургии по шаблонам ограничено размером ротового отверстия. Применить методику у всех пациентов не представлялось возможным, так как хирургический инструментарий громоздкий, и не у всех пациентов имеется достаточно большое отверстие для установки имплантатов, особенно в области моляров, и по этой причине они были исключены из исследования. . Несомненно, будут разработаны новые методы, не ограниченные проблемами пространства, что, таким образом, позволит распространить применение методов хирургии по шаблонам на всех пациентов. Наконец, стабильность хирургических шаблонов, напечатанных на 3D-принтере, все еще может быть проблемой. Хотя в этом анализе их стабильность была удовлетворительной, по крайней мере в идеале хирургические шаблоны с опорой на зубы должны располагаться на зубах в определенных точках; фактически, чем больше площадь опоры, тем сложнее добиться идеальной посадки (например, на окклюзионной поверхности). Устранение подрезов имеет большое значение, и размер направляющей должен быть как можно меньше, чтобы избежать проблем, вызванных усадкой материала с течением времени, что может привести к проблемным несоответствиям.

Тем не менее, это исследование показало, что теперь можно планировать и внедрять протезы с коротким пролетом, поддерживаемые имплантатами, с полностью цифровым процессом, используя хирургическое планирование. Это позволяет оптимально разместить имплантаты, снижая риски, связанные с хирургическим вмешательством, и его время. Послеоперационный дискомфорт для пациента значительно снижается при использовании безлоскутного метода. Полностью цифровой процесс также позволяет значительно сэкономить время пациента и практикующего врача, что приводит к снижению затрат [26, 27].

5. Выводы

В этом исследовании мы представили полностью цифровой метод управляемой установки имплантатов в задней области верхней челюсти у 15 пациентов и последующего изготовления несъемных протезов с опорой на имплантаты. Всего безлоскутным методом было установлено 30 имплантатов. Хирургические шаблоны легко располагались на опорных зубах и были достаточно стабильны. Имплантаты были немедленно загружены несъемными частичными протезами из ПММА. Эти протезы легко устанавливались на временные титановые абатменты, которые ввинчивались и оставались на месте в течение трех месяцев. В конце временного периода был сделан окончательный оптический оттиск, изготовлены каркасы из диоксида циркония и изготовлены модели из полимера, напечатанные на 3D-принтере. Затем каркасы покрывали керамикой и доставляли пациентам. При последующем осмотре через 6 месяцев ни один пациент не сообщил о каких-либо проблемах или биологических или функциональных осложнениях, связанных с реставрациями с опорой на имплантаты. Все протезы функционировали, и пациенты были очень довольны. Исследование имеет ограничения (небольшое количество пациентов и имплантатов, короткий период наблюдения), и для проверки представленного здесь метода потребуются дальнейшие исследования.

Конкурирующие интересы

Авторы сообщают об отсутствии конфликта интересов в настоящем исследовании.

Рекомендации

[1]      Т. Джода и У. Браггер, «Полный цифровой рабочий процесс для производства одиночных монолитных коронок с опорой на имплантаты», Clinical Oral Implants Research , vol. 25, нет. 11, стр. 1304–1306, 2014.

[2]      Мора М.А., Ченин Д.Л. и Арсе Р.М. Программные инструменты и хирургические руководства в хирургии с использованием зубных имплантатов // Стоматологические клиники Северной Америки . 58, нет. 3, стр. 597–626, 2014.

[3]      Р. Е. Юнг, Д. Шнайдер, Дж. Ганелес и др., «Применение компьютерных технологий в хирургической имплантологии: систематический обзор», Международный журнал оральных и челюстно-лицевых имплантатов , том. 24, стр. 92–109, 2009.

[4]      WJ van der Meer, FS Andriessen, D. Wismeijer и Y. Ren, «Применение внутриротовых стоматологических сканеров в цифровом рабочем процессе имплантологии», PLoS ONE , vol. 7, нет. 8, номер статьи e43312, 2012 г.

[5]      Нойгебауэр Дж., Стачулла Г., Риттер Л. и др., «Компьютерные технологии производства для установки управляемых имплантатов», Экспертный обзор медицинских устройств , т. 2, с. 7, нет. 1, стр. 113–129, 2010.

[6]      М. Циммерманн, А. Мел, В. Х. Морманн и С. Райх,¨

«Системы внутриротового сканирования — текущий обзор», International Journal of Computerized Dentistry , vol. 18, нет. 2, стр. 101–129, 2015.

[7]      E. Yuzbasioglu, H. Kurt, R. Turunc и H. Bilir, «Сравнение цифровых и обычных методов оттиска: оценка восприятия пациентов, комфорт лечения, эффективность и клинические результаты», BMC Oral Health , vol. 14, статья 10, 2014.

[8]      С. Б. Патцельт, К. Лампринос, С. Стампф и В. Атт, «Временная эффективность внутриротовых сканеров: сравнительное исследование in vitro», Журнал Американской стоматологической ассоциации , том. 145, нет. 6, стр. 542–551, 2014.

[9]      С. Тинг-шу и С. Цзянь, «Техника внутриротового цифрового оттиска: обзор», Журнал ортопедии , том. 24, нет. 4, стр. 313–321, 2015.

[10]   С.П. Аруньянак, Б.Т. Харрис, Г.Т. Грант, Д. Мортон и В.С. Лин, «Цифровой подход к планированию компьютерной хирургии и немедленной временной установки у пациента с частичной адентией», Журнал ортопедической стоматологии, 2016 .

[11]   Ж.-Х. Lee, «Внутриротовой цифровой оттиск для изготовления копии временного протеза с опорой на имплантаты», Journal of Prosthetic Dentistry , vol. 115, нет. 2, стр. 145–149, 2016.

[12]   Ван Аше Н., Веркруйссен М., Кук В., Теугелс В., Джейкобс Р., Киринен М. «Точность компьютерной установки имплантатов», Клинические исследования оральных имплантатов , том. 23, приложение 6, стр. 112–123, 2012.

[13]   М. Даас, А. Ассаф, К. Дада и Дж. Макзуме, «Компьютерная имплантация в свежие лунки после удаления и немедленная нагрузка полной реставрации зубного ряда: 2-летнее последующее исследование 14 пациентов, получавших последовательное лечение » « Международный журнал стоматологии » , том. 2015 г., ID статьи 824127, 10 страниц, 2015 г.

[14]   J. D'Haese, T. van de Velde, A. Komiyama, M. Hultin и H. de Bruyn, «Точность и осложнения с использованием компьютерных стереолитографических хирургических шаблонов для реабилитации полости рта с помощью зубных имплантатов: обзор литература», « Клиническая имплантационная стоматология и сопутствующие исследования» , том. 14, нет. 3, стр. 321–335, 2012.

[15]   С. Д. Ганц, «Трехмерная визуализация и управляемая хирургия зубных имплантатов», Dental Clinics of North America , vol. 59, нет. 2, стр. 265–290, 2015.

[16]   А. Аль-Окши, К. Линд, Х. Сейл, М. Гуннарссон и М. Ролин, «Эффективная доза конусно-лучевой КТ (КЛКТ) лицевого скелета: систематический обзор», Британский журнал радиологии, том . 88, нет. 1045, номер статьи 20140658, 2015 г.

[17]   М. Веркруйссен, Т. Фортин, Г. Видманн, Р. Джейкобс и М. Киринен, «Различные методы статической/динамической управляемой имплантации: методы и показания», Пародонтология, 2000 г. , том. 66, нет. 1, стр. 214–227, 2014.

[18]   Fortin T., Bosson JL, Isidori M. и Blanchet E. «Влияние безлоскутной хирургии на боль, возникающую при установке имплантата с использованием системы с визуальным контролем», International Journal of Oral and челюстно-лицевые имплантаты , vol. 21, нет. 2, стр. 298–304, 2006.

[19]   D. Farronato, F. Mangano, F. Briguglio, V. Iorio-Siciliano, F. Riccitiello и R. Guarnieri, «Влияние поверхности Laser-Lok на непосредственную функциональную нагрузку имплантатов при замещении одного зуба: 2 года проспективное клиническое исследование», Международный журнал пародонтологии и восстановительной стоматологии , том. 34, нет. 1, стр. 79–89, 2014.

[20]   Ф. Мангано, С. Поцци-Тауберт, П.А. Зекка, Г. Луонго, Р.Л. Саммонс и К. Мангано, «Немедленная реставрация несъемных частичных протезов с опорой на цельные имплантаты узкого диаметра с избирательным лазерным спеканием: перспектива на 2 года». исследование задних челюстей у 16 пациентов, Implant Dentistry , vol. 22, нет. 4, стр. 388–393, 2013.

[21]   Х.-Л. Wang, Z. Ormianer, A. Palti, ML Perel, P. Trisi и G. Sammartino, «Консенсусная конференция по немедленной нагрузке: отдельные зубы и частичная адентия», Implant Dentistry, vol . 15, нет. 4, стр. 324–333, 2006.

[22]   Т. Джода, Ж.-Г. Wittneben, and U. Bragger, «Цифровые оттиски имплантатов с помощью «Индивидуальной техники сканирования тела» для поддержки профиля появления», Clinical Oral Implants Research , vol. 25, нет. 3, стр. 395–397, 2014.

[23]   Т. Виммер, А. М. Хаффманн, М. Эйхбергер, П. Р. Шмидлин и Б. Ставарчик, «Скорость износа двух тел из ПЭЭК, композита на основе смолы CAD / CAM и ПММА: влияние геометрии образцов, материалов-антагонистов и конфигурации испытательной установки, Стоматологические материалы , вып. 32, нет. 6, стр. e127–e136, 2016 г.

[24]   С. Наджиб, М.С. Зафар, З. Хуршид и Ф. Сиддики, «Применение полиэфирэфиркетона (PEEK) в оральной имплантологии и протезировании», Журнал ортопедических исследований , том. 60, нет. 1, стр. 12–19, 2016.

[25]   CF Selz, J. Bogler, K. Vach, JR Strub и PC Guess, «Облицованные анатомически сконструированные циркониевые FDP, полученные в результате цифрового внутриротового сканирования: предварительные результаты проспективного клинического исследования», Journalof Dentistry, vol . 43, нет. 12, стр. 1428–1435, 2015.

[26]   Т. Джода и У. Браггер, «Результаты, ориентированные на пациента, при сравнении цифровых и традиционных процедур снятия оттиска имплантатов: рандомизированное перекрестное исследование», Clinical Oral Implants Research , 2015.

[27]   Т. Джода и У. Браггер, «Цифровые и обычные рабочие процессы протезирования на имплантатах: анализ затрат и времени», Clinical Oral Implants Research , vol. 26, нет. 12, стр. 1430–1435, 2015.

Cookie-файлы
Настройка cookie-файлов
Детальная информация о целях обработки данных и поставщиках, которые мы используем на наших сайтах
Аналитические Cookie-файлы Отключить все
Технические Cookie-файлы
Другие Cookie-файлы
Мы используем файлы Cookie для улучшения работы, персонализации и повышения удобства пользования нашим сайтом. Продолжая посещать сайт, вы соглашаетесь на использование нами файлов Cookie. Подробнее о нашей политике в отношении Cookie.
Принять все Отказаться от всех Настроить
Cookies